Skip Menu
Continue
  • 169 Valley Street,
  • Willimantic, CT 06226
  • Home
  • About Us
    • Our Office
    • New Patients
    • Meet the Team
    • Smile Gallery
    • Dental Videos
    • Testimonials
  • Meet Our Doctor
    • Mark Longobardi, DMD
  • Services
      • Crowns & Caps
      • Dental Bridges
      • Dental Fillings
      • Dentures
      • Emergency Treatment
      • Extractions
      • Implant Dentistry
      • Oral Exams
      • Pediatric Dentistry
      • Periodontal Treatment
      • Preventive Program
      • Sedation Dentistry
      • Sleep Apnea
      • Sports Mouthguards
      • Teeth Whitening
      • Veneers
    • View All
  • Dental Health
  • Contact
    • Contact Us
    • Request Appointment

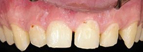
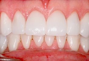
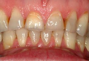
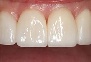
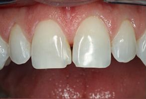
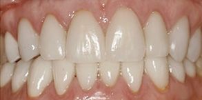
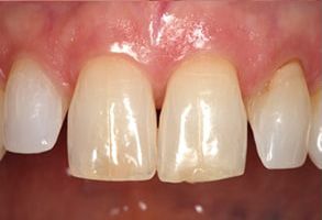
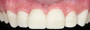
Smile Gallery

Additional Information

Our Location

169 Valley Street
Willimantic, CT 06226
(860) 456-1784

Follow Us